В России создали устройство для автоматического определения онкозаболеваний
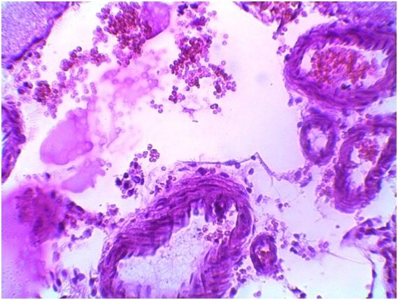
Для поиска изменений в клетках, которые могли бы свидетельствовать об онкопатологии, используется гистологический анализ. Сейчас этот процесс достаточно длителен. Разработка учёных же автоматизирует процедуру гистологического анализа. Из-за исключения человеческого фактора точность анализа повышается.
Нужно сначала загрузить образцы материала в аппарат, а затем просканировать их. После этого компьютерные алгоритмы обрабатывают полученное изображение. Также находятся изменения в клетках.
Учёные уже провели эксперименты по распознаванию клеточных патологий. Результаты работы системы оценил лаборант-гистолог. В будущем исследователи хотят создать «робота-гистолога». Он будет загружать образцы материала в аппарат и получать результаты. Сейчас создаётся прототип устройства.
© Ferra.ru
